加齢による歯ぐき下がりの原因と進行を遅らせるケア方法を解説
2026/03/20
こんにちは、船堀の歯医者、中山歯科医院です。
以前よりも歯が長く見えるようになった、歯の根元が見えてきた、歯と歯の間にすき間ができたといった変化に気づいた場合、歯ぐきが下がってきているサインかもしれません。
歯ぐき下がりは、加齢とともに多くの人が経験する口腔内の変化の一つです。
今回は、加齢による歯ぐき下がりの原因や進行を遅らせるためのセルフケア方法などを解説します。
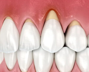
歯ぐき下がりとは
歯ぐき下がり(歯肉退縮)とは、歯ぐきが徐々に下がって歯の根が露出してくる状態を指します。
健康な状態では、歯ぐきは歯の根元部分をしっかりと覆っているため歯冠部分だけが見えていますが、歯ぐきが退縮すると、本来歯ぐきに覆われている歯根の部分が見えるようになります。
歯根の表面はエナメル質ではなく、セメント質というやわらかい組織で覆われているため、露出すると虫歯や知覚過敏になりやすくなります。
歯ぐき下がりは、一度起こると元に戻すことが困難です。
一度下がった歯ぐきをもとに戻すために、外科的な治療が必要になることもあります。
また、歯ぐき下がりの初期段階では、自覚症状がほとんどないことも少なくありません。
そのため、予防と早期発見がとても重要です。
歯ぐき下がりのタイプ
炎症性
炎症性の歯ぐき下がりは、歯周病による炎症が原因です。
歯周病が進行すると、歯と歯ぐきの間に歯周ポケットと呼ばれる深い溝ができ、歯ぐきが徐々に下がっていきます。
非炎症性
非炎症性の歯ぐき下がりは、強すぎるブラッシング、歯ぎしり、加齢などが原因で起こります。
また、歯ぐきの厚みには個人差があり、生まれつき薄い方は歯ぐきが下がりやすい傾向があります。
歯ぐきが下がる主な原因
加齢
加齢は、歯ぐきの健康にさまざまな影響を及ぼします。
まず、年齢とともに歯ぐきの組織自体が変化します。
若い頃は弾力があり厚みのあった歯ぐきが、加齢とともに徐々に薄くなり、弾力性も失われていきます。
また、歯ぐきの血流も加齢とともに減少します。
血流が減ると、歯ぐきに酸素や栄養が十分に届かなくなり、組織の修復能力や抵抗力が低下します。
その結果、細菌感染に対する抵抗力が弱まり、歯周病になりやすくなります。
加えて、歯ぐきのコラーゲン生成能力も低下します。
コラーゲンは歯ぐきの弾力性と強度を保つために重要な成分のため、加齢とともにその産生が減少すると、歯ぐきが痩せて下がりやすくなります。
さらに、長年の咬合力の蓄積も影響します。
何十年もの間、食事や歯ぎしりなどで歯に力がかかり続けることで、歯を支える骨や歯ぐきに負担が蓄積し、歯ぐきが下がりやすくなります。
特に歯ぎしりや食いしばりの習慣がある方は、その影響が顕著です。
歯周病
歯周病は、歯垢中の細菌によって歯ぐきや歯を支える骨が破壊される病気です。
歯周病が進行すると、歯と歯ぐきの間に歯周ポケットができ、そこに細菌が入り込んで炎症を起こします。
炎症が続くと、歯ぐきが徐々に下がり、さらに歯を支える骨も溶けていきます。
間違ったブラッシング
硬い歯ブラシを長年使っていたり、強い力でゴシゴシと磨いていたりすると、歯ぐきがダメージを受け下がりやすくなります。
横方向にゴシゴシと磨く習慣がある方も注意が必要です。
歯ぎしり・食いしばり
歯ぎしりや食いしばりも、歯ぐき下がりの大きな原因です。
就寝中の歯ぎしりは、歯や歯ぐきに強い力をかけます。
長期間にわたって過度な力がかかると、骨が吸収され、歯ぐきも下がっていきます。
喫煙
喫煙も歯ぐき下がりの原因です。
タバコに含まれるニコチンは、歯ぐきの血管を収縮させて血流を悪化させます。
また、免疫機能を低下させるため、歯周病菌に対する抵抗力も弱まります。
歯並び・噛み合わせ
歯並びが悪いと、特定の歯に過度な力がかかったり、清掃が困難になったりすることで、歯ぐき下がりが起こりやすくなります。
また、噛み合わせが悪いと、一部の歯に偏った力がかかり、その部分の歯ぐきが下がりやすくなります。
歯ぐき下がりを予防する方法
オーラルケア
歯ぐき下がりの進行を遅らせるために大切なのは、毎日のセルフケアです。
「きちんと磨いているつもりなのに虫歯や歯周病ができる」という場合には、一度歯科医院でブラッシング指導を受けましょう。
また、デンタルフロスや歯間ブラシの使用も欠かせません。
毎日フロスや歯間ブラシを使用することで、歯周病のリスクを大幅に減らすことができます。
禁煙
タバコを吸っている方は禁煙にチャレンジしましょう。
喫煙は歯周病のリスク因子であり、歯ぐき下がりを加速させます。
栄養バランスの取れた食事
栄養バランスの取れた食事を心がけることも、歯ぐきの健康を保つために大切です。
特にビタミンCは、コラーゲンの生成に不可欠なため、歯ぐきの健康維持に欠かせません。
また、魚類、卵、乳製品などから、骨の健康を支えるビタミンDとカルシウムも摂取しましょう。
そのほか、抗酸化物質を多く含む食品は、歯ぐきの炎症抑制が期待できます。
水分補給
十分な水分補給も大切です。
水分が不足すると、唾液の分泌が減少し、口腔内が乾燥して細菌が繁殖しやすくなります。
1日に1.5リットルから2リットル程度の水分を、こまめに摂取するようにしましょう。
歯ぎしり・食いしばり対策
歯ぎしりや食いしばりの習慣がある方は、対策が必要です。
日中の食いしばりは意識的に避ける、就寝時はマウスピースを装着するなど、対策をとるようにしましょう。
定期的な歯科検診
定期検診は、口内トラブルの予防、早期発見・早期治療のために欠かせません。
歯ぐき下がりは初期段階では自覚症状が少ないため、定期的にチェックしてもらうことで、早期に発見し対処することができます。
リスクの高い方や、すでに症状が出ている方、40代以降の方は、1、2か月に一度をめどに検診を受けるようにしましょう。
歯ぐき下がりの治療方法
歯周病治療
歯ぐき下がりの原因が歯周病の場合は、歯周病の治療が必要です。
軽度から中等度の歯周病であれば、スケーリングやルートプレーニングといった非外科的治療で改善を試みます。
重度の場合は、歯周外科手術が必要になることもあります。
歯肉移植術
歯ぐき下がりそのものを改善するための治療としては、歯肉移植術があります。
これは、口蓋などから歯ぐきの組織を採取し、退縮した部分に移植する手術です。
露出した歯根を覆い、歯ぐきの厚みを増すことができます。
再生療法
再生療法は、歯周組織の再生を促す薬剤を使用する治療法です。
失われた骨や歯ぐきの再生を促進することで、歯ぐき下がりの改善を促します。
まとめ
加齢による歯ぐき下がりは、日々のケアと生活習慣の改善によって、その進行を遅らせることができます。
歯ぐき下がりは一度進行すると元に戻すことが困難なため、予防が何よりも重要です。
今日から一つずつ実践することで、健康な歯と歯ぐきを守っていきましょう。
中山歯科医院:https://w-nakayama.com/
〒132-0025 東京都江戸川区松江1−1−3
電話:03-3651-0250
電車でお越しの方:
都営新宿線線船堀駅 バス5分
JR線新小岩駅 バス8分
